Chest X Ray Mesothelioma: What You Need to Know
If you're reading this, you might be concerned about your lung health, perhaps with a history of asbestos exposure, and wondering about a chest X-ray. It's completely understandable to feel anxious when facing potential health issues. A Chest X Ray Mesothelioma scan is often one of the first steps doctors take to look for changes in your lungs that could point towards this serious illness. But what exactly can it tell us, and what does it mean for you?
This article aims to be your friendly, informative guide, helping you understand how a chest X-ray fits into the diagnostic journey for mesothelioma, what doctors are looking for, and what to expect next. Remember, this information is for educational purposes and shouldn't replace professional medical advice.
Understanding Mesothelioma and Its Early Signs
Mesothelioma is a rare but aggressive cancer primarily caused by asbestos exposure. It most commonly affects the lining of the lungs (pleural mesothelioma), but can also occur in the abdomen or heart. The challenge with mesothelioma is that its symptoms often don't appear until the disease is in its later stages, making early detection crucial.
Early signs can be vague, like shortness of breath, chest pain, or a persistent cough. Because these symptoms can mimic many other, less serious conditions, a doctor often starts with a general assessment, which frequently includes a chest X-ray.
How a Chest X-Ray Can Spot Trouble
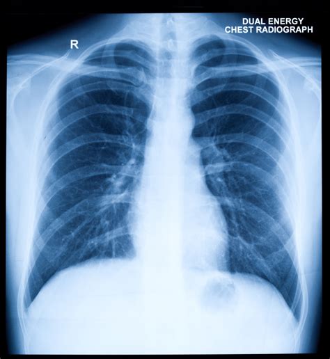
A chest X-ray, or radiograph, uses a small amount of radiation to create images of the inside of your chest, including your heart, lungs, and blood vessels. For suspected mesothelioma, doctors are particularly keen on observing the pleural lining, the membrane surrounding your lungs.
While a chest X-ray can't definitively diagnose mesothelioma, it can reveal certain abnormalities that suggest its presence. These might include:
- Pleural Thickening: A visible thickening of the lung lining, often calcified (pleural plaques), which is a common sign of past asbestos exposure and a risk factor for mesothelioma.
- Pleural Effusion: An accumulation of fluid between the layers of the pleura, which can cause shortness of breath. This is a very common finding in mesothelioma.
- Nodules or Masses: Any unusual growths or shadows on the lung or pleural surface.
- Loss of Lung Volume: In advanced cases, the disease can constrict the lung, reducing its overall size.
It's important to remember that these findings aren't exclusive to mesothelioma. Other conditions can also cause similar changes, which is why further tests are almost always needed.
What Comes After a Suspicious Chest X-Ray?
If your Chest X Ray Mesothelioma scan shows suspicious findings, don't jump to conclusions. Your doctor will likely recommend more advanced imaging tests to get a clearer picture. These often include:
- CT (Computed Tomography) Scan: Provides more detailed, cross-sectional images than an X-ray, helping to better visualize pleural thickening, fluid, and tumor extent.
- MRI (Magnetic Resonance Imaging): Useful for assessing soft tissue and the extent of tumor invasion into surrounding structures.
- PET (Positron Emission Tomography) Scan: Helps identify metabolically active tumor cells and detect if the cancer has spread.
Ultimately, the only way to definitively diagnose mesothelioma is through a biopsy. This involves taking a small tissue sample from the suspicious area, which is then examined under a microscope by a pathologist. Your doctor will guide you through these next steps.
Important Things to Remember About Your Scan
Receiving any abnormal test result can be unsettling, but it's important to keep a level head. Here are a few points to consider:
- It's a Screening Tool: A chest X-ray is a good initial screening tool, but it's not a diagnostic one for mesothelioma on its own.
- Follow-Up is Key: Always follow your doctor's recommendations for further tests and consultations. This is crucial for accurate diagnosis and timely treatment, if needed.
- Share Your History: Make sure your doctor knows about any history of asbestos exposure, even if it was many years ago. This information is vital for interpreting your scan results.
Your healthcare team is there to help guide you, so don't hesitate to ask questions and express your concerns.
Conclusion
A Chest X Ray Mesothelioma examination serves as a critical first step in evaluating individuals with suspected asbestos-related lung issues. While it can reveal important clues like pleural thickening or fluid, it is never the final word on a mesothelioma diagnosis. It acts as a gateway to more advanced imaging and, ultimately, a biopsy, which is necessary for a definitive diagnosis. Staying informed, communicating openly with your doctor, and pursuing recommended follow-up tests are your best allies in navigating this journey.
Frequently Asked Questions (FAQ)
- Is a chest X-ray enough to diagnose mesothelioma?
- No, a chest X-ray cannot definitively diagnose mesothelioma. It can only suggest the possibility by showing abnormalities. Further advanced imaging (like CT, MRI, PET scans) and a biopsy are required for a conclusive diagnosis.
- What specific signs does a chest X-ray look for in mesothelioma?
- Doctors look for signs such as pleural thickening (especially calcified plaques), pleural effusion (fluid around the lungs), and any unusual masses or nodules. These findings indicate a need for further investigation.
- What if my chest X-ray is clear but I have symptoms?
- If your chest X-ray is clear but you still experience persistent symptoms like shortness of breath or chest pain, especially with a history of asbestos exposure, it's important to discuss this with your doctor. Mesothelioma can be difficult to spot in early stages on an X-ray, and further tests might be warranted.
- How accurate is a chest X-ray for mesothelioma?
- A chest X-ray is a good initial screening tool for mesothelioma, but its accuracy for definitive diagnosis is limited. It can detect major changes but often misses early-stage disease or smaller tumors. Its main role is to identify individuals who need more detailed imaging and diagnostic procedures.
Chest X Ray Mesothelioma
Chest X Ray Mesothelioma Wallpapers
Collection of chest x ray mesothelioma wallpapers for your desktop and mobile devices.

High-Quality Chest X Ray Mesothelioma Landscape Collection
Experience the crisp clarity of this stunning chest x ray mesothelioma image, available in high resolution for all your screens.

Vivid Chest X Ray Mesothelioma Artwork Collection
Explore this high-quality chest x ray mesothelioma image, perfect for enhancing your desktop or mobile wallpaper.

Spectacular Chest X Ray Mesothelioma Image Photography
Find inspiration with this unique chest x ray mesothelioma illustration, crafted to provide a fresh look for your background.

Amazing Chest X Ray Mesothelioma Image for Mobile
Experience the crisp clarity of this stunning chest x ray mesothelioma image, available in high resolution for all your screens.

Serene Chest X Ray Mesothelioma Moment in 4K
Experience the crisp clarity of this stunning chest x ray mesothelioma image, available in high resolution for all your screens.

Captivating Chest X Ray Mesothelioma Photo in 4K
A captivating chest x ray mesothelioma scene that brings tranquility and beauty to any device.

High-Quality Chest X Ray Mesothelioma Scene Digital Art
Discover an amazing chest x ray mesothelioma background image, ideal for personalizing your devices with vibrant colors and intricate designs.

Crisp Chest X Ray Mesothelioma Background Collection
A captivating chest x ray mesothelioma scene that brings tranquility and beauty to any device.

Breathtaking Chest X Ray Mesothelioma Background Photography
Explore this high-quality chest x ray mesothelioma image, perfect for enhancing your desktop or mobile wallpaper.

Vivid Chest X Ray Mesothelioma Picture Digital Art
Explore this high-quality chest x ray mesothelioma image, perfect for enhancing your desktop or mobile wallpaper.

Gorgeous Chest X Ray Mesothelioma Design in 4K
Immerse yourself in the stunning details of this beautiful chest x ray mesothelioma wallpaper, designed for a captivating visual experience.

Spectacular Chest X Ray Mesothelioma Image Digital Art
Immerse yourself in the stunning details of this beautiful chest x ray mesothelioma wallpaper, designed for a captivating visual experience.

Beautiful Chest X Ray Mesothelioma Image for Mobile
Explore this high-quality chest x ray mesothelioma image, perfect for enhancing your desktop or mobile wallpaper.

Mesmerizing Chest X Ray Mesothelioma Wallpaper Digital Art
Explore this high-quality chest x ray mesothelioma image, perfect for enhancing your desktop or mobile wallpaper.

Lush Chest X Ray Mesothelioma Background in 4K
Find inspiration with this unique chest x ray mesothelioma illustration, crafted to provide a fresh look for your background.

Amazing Chest X Ray Mesothelioma Design for Desktop
Explore this high-quality chest x ray mesothelioma image, perfect for enhancing your desktop or mobile wallpaper.

Spectacular Chest X Ray Mesothelioma Artwork Collection
Find inspiration with this unique chest x ray mesothelioma illustration, crafted to provide a fresh look for your background.

High-Quality Chest X Ray Mesothelioma Abstract Concept
Explore this high-quality chest x ray mesothelioma image, perfect for enhancing your desktop or mobile wallpaper.

Captivating Chest X Ray Mesothelioma Scene in 4K
Immerse yourself in the stunning details of this beautiful chest x ray mesothelioma wallpaper, designed for a captivating visual experience.

Crisp Chest X Ray Mesothelioma Abstract for Mobile
This gorgeous chest x ray mesothelioma photo offers a breathtaking view, making it a perfect choice for your next wallpaper.
Download these chest x ray mesothelioma wallpapers for free and use them on your desktop or mobile devices.