Does Mesothelioma Show Up On Xray?
If you or a loved one are concerned about asbestos exposure, you might be wondering, "Does mesothelioma show up on an X-ray?" It's a very common and important question. While an X-ray can't give a definitive diagnosis, it can certainly reveal clues that prompt doctors to investigate further. Think of it as the first step in a diagnostic journey.
An X-ray is often one of the first imaging tests performed when someone exhibits symptoms like persistent cough, chest pain, or shortness of breath, which can be indicators of various lung conditions, including mesothelioma.
Understanding Mesothelioma and X-rays
Mesothelioma is a rare and aggressive cancer, most commonly caused by asbestos exposure, affecting the lining of the lungs (pleural mesothelioma), abdomen (peritoneal mesothelioma), or heart. Because the symptoms often mimic more common conditions, early detection can be challenging. This is where initial imaging like an X-ray becomes vital.
When a doctor suspects a lung issue, a chest X-ray is typically among the first tests ordered. It's a quick, non-invasive way to get a basic picture of what's happening inside the chest cavity.
What an X-ray Can Reveal (and What It Can't)
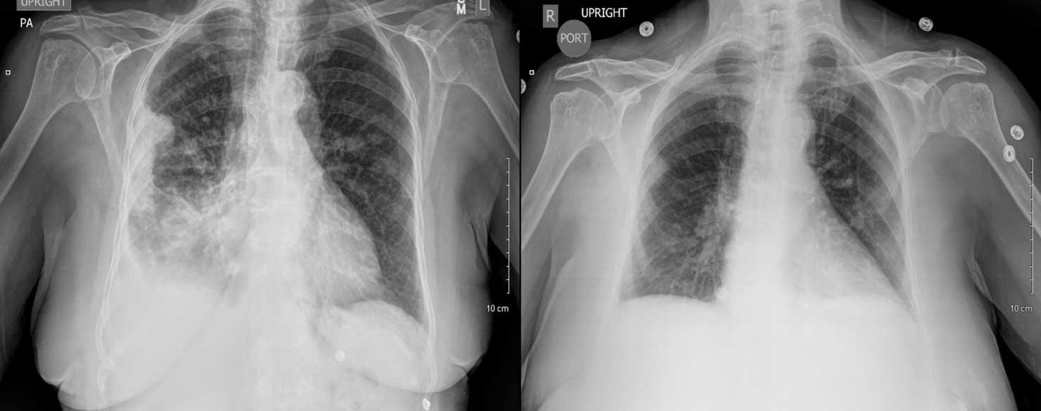
So, does mesothelioma show up on an X-ray? Not directly as "mesothelioma," but it can show abnormalities that are highly suspicious. Here are some common findings:
- Pleural Thickening: The lining of the lung can become noticeably thicker.
- Pleural Effusion: This is fluid buildup around the lungs, which can be a sign of irritation or disease.
- Pleural Plaques: These are areas of calcified scarring on the pleura, often a sign of past asbestos exposure.
- Volume Loss: One side of the chest might appear smaller due to lung constriction.
However, these signs are not exclusive to mesothelioma. Conditions like pneumonia, other cancers, or even heart failure can cause similar X-ray findings. This is why an X-ray is a screening tool, not a diagnostic one for mesothelioma.
Beyond the X-ray: Next Steps in Diagnosis
If an X-ray shows suspicious findings, your doctor will almost certainly recommend further, more advanced imaging tests to get a clearer picture. These might include:
- CT Scan (Computed Tomography): Provides more detailed cross-sectional images than an X-ray, showing the exact location and extent of abnormalities.
- MRI (Magnetic Resonance Imaging): Offers excellent soft tissue contrast, useful for evaluating tumor spread.
- PET Scan (Positron Emission Tomography): Helps identify metabolically active cancer cells, often used for staging.
Ultimately, the only way to definitively diagnose mesothelioma is through a biopsy, where a tissue sample is taken and examined under a microscope. These advanced imaging techniques help guide the biopsy to the most suspicious area.
Conclusion
So, does mesothelioma show up on X-ray? The answer is nuanced: an X-ray can reveal significant clues and abnormalities that suggest the presence of a serious condition like mesothelioma, but it cannot provide a definitive diagnosis on its own. It serves as a vital initial screening tool, guiding healthcare professionals on whether to pursue more advanced imaging and, critically, a biopsy. If you have a history of asbestos exposure or concerning symptoms, discussing an X-ray and subsequent steps with your doctor is crucial.
Frequently Asked Questions (FAQ)
- Can an X-ray definitively diagnose mesothelioma?
- No, an X-ray cannot definitively diagnose mesothelioma. It can show abnormalities like pleural thickening or fluid that are suspicious, but further tests are always required for a confirmed diagnosis.
- What other tests are typically needed after a suspicious X-ray?
- After a suspicious X-ray, doctors usually recommend more advanced imaging like CT scans, MRIs, or PET scans. The definitive diagnosis, however, relies on a biopsy of the affected tissue.
- What are the typical signs of mesothelioma on an X-ray?
- Common signs include pleural thickening (thickening of the lung lining), pleural effusion (fluid buildup around the lungs), and sometimes pleural plaques (calcified scars from asbestos exposure).
- How soon after asbestos exposure can mesothelioma show up on an X-ray?
- Mesothelioma has a long latency period, often 20-50 years after exposure. Abnormalities might only appear on an X-ray once the disease has progressed to a detectable stage, typically when symptoms begin to manifest.
Does Mesothelioma Show Up On Xray
Does Mesothelioma Show Up On Xray Wallpapers
Collection of does mesothelioma show up on xray wallpapers for your desktop and mobile devices.

High-Quality Does Mesothelioma Show Up On Xray Landscape Collection
Experience the crisp clarity of this stunning does mesothelioma show up on xray image, available in high resolution for all your screens.

Spectacular Does Mesothelioma Show Up On Xray Image Photography
Find inspiration with this unique does mesothelioma show up on xray illustration, crafted to provide a fresh look for your background.

Serene Does Mesothelioma Show Up On Xray Abstract Art
Transform your screen with this vivid does mesothelioma show up on xray artwork, a true masterpiece of digital design.

Stunning Does Mesothelioma Show Up On Xray Moment Nature
This gorgeous does mesothelioma show up on xray photo offers a breathtaking view, making it a perfect choice for your next wallpaper.

High-Quality Does Mesothelioma Show Up On Xray Scene Digital Art
Discover an amazing does mesothelioma show up on xray background image, ideal for personalizing your devices with vibrant colors and intricate designs.

Breathtaking Does Mesothelioma Show Up On Xray Photo in 4K
Explore this high-quality does mesothelioma show up on xray image, perfect for enhancing your desktop or mobile wallpaper.

High-Quality Does Mesothelioma Show Up On Xray Abstract Concept
Explore this high-quality does mesothelioma show up on xray image, perfect for enhancing your desktop or mobile wallpaper.

Crisp Does Mesothelioma Show Up On Xray Background Collection
A captivating does mesothelioma show up on xray scene that brings tranquility and beauty to any device.

Captivating Does Mesothelioma Show Up On Xray Photo in 4K
A captivating does mesothelioma show up on xray scene that brings tranquility and beauty to any device.

Lush Does Mesothelioma Show Up On Xray Background in 4K
Find inspiration with this unique does mesothelioma show up on xray illustration, crafted to provide a fresh look for your background.

Detailed Does Mesothelioma Show Up On Xray Design Art
Discover an amazing does mesothelioma show up on xray background image, ideal for personalizing your devices with vibrant colors and intricate designs.

Detailed Does Mesothelioma Show Up On Xray Design Art
Discover an amazing does mesothelioma show up on xray background image, ideal for personalizing your devices with vibrant colors and intricate designs.

Vivid Does Mesothelioma Show Up On Xray Landscape Collection
Transform your screen with this vivid does mesothelioma show up on xray artwork, a true masterpiece of digital design.

Exquisite Does Mesothelioma Show Up On Xray Wallpaper Photography
Find inspiration with this unique does mesothelioma show up on xray illustration, crafted to provide a fresh look for your background.

Breathtaking Does Mesothelioma Show Up On Xray Background Photography
Explore this high-quality does mesothelioma show up on xray image, perfect for enhancing your desktop or mobile wallpaper.

Amazing Does Mesothelioma Show Up On Xray Landscape Concept
Transform your screen with this vivid does mesothelioma show up on xray artwork, a true masterpiece of digital design.

Amazing Does Mesothelioma Show Up On Xray Design for Desktop
Explore this high-quality does mesothelioma show up on xray image, perfect for enhancing your desktop or mobile wallpaper.

Serene Does Mesothelioma Show Up On Xray Image in HD
Discover an amazing does mesothelioma show up on xray background image, ideal for personalizing your devices with vibrant colors and intricate designs.

Spectacular Does Mesothelioma Show Up On Xray Image Digital Art
Immerse yourself in the stunning details of this beautiful does mesothelioma show up on xray wallpaper, designed for a captivating visual experience.

Crisp Does Mesothelioma Show Up On Xray Abstract Photography
This gorgeous does mesothelioma show up on xray photo offers a breathtaking view, making it a perfect choice for your next wallpaper.
Download these does mesothelioma show up on xray wallpapers for free and use them on your desktop or mobile devices.