How Mesothelioma Is Diagnosed: Understanding Your Journey
Facing a potential mesothelioma diagnosis can be incredibly daunting, and understanding how mesothelioma is diagnosed is a crucial first step. This journey often involves several stages, as the symptoms can mimic many other, less serious conditions. We're here to walk you through the process in a clear, supportive way, helping you understand each step as you seek answers.
Early Signs Can Be Tricky
One of the biggest challenges in diagnosing mesothelioma is that its early symptoms are often vague and can easily be mistaken for common ailments. You might experience persistent cough, shortness of breath, chest pain, or unexplained weight loss. These aren't unique to mesothelioma, which can unfortunately delay a proper diagnosis.
Because of this, it's vital to speak with your doctor about any persistent symptoms, especially if you have a history of asbestos exposure. Don't dismiss your concerns; advocating for yourself is key to understanding how mesothelioma is diagnosed.
The Initial Consultation: What to Expect
Your first step will typically be a visit to your general practitioner. They will take a detailed medical history, including any potential exposure to asbestos, and perform a physical examination. This initial assessment helps them determine if further investigation is warranted. If mesothelioma is suspected, you'll likely be referred to a specialist, such as a pulmonologist or oncologist.
Imaging Tests: Peeking Inside
Imaging tests are crucial in the diagnostic process. They help doctors visualize your internal organs and identify any abnormalities, such as fluid buildup around the lungs (pleural effusion) or thickening of the pleura (the lining of the lungs). These tests can suggest the presence of mesothelioma but cannot definitively confirm it.
Common imaging tests include:
- Chest X-ray: Often the first imaging test, it can reveal fluid or changes in the lung lining.
- CT Scan (Computed Tomography): Provides more detailed cross-sectional images, showing the extent of disease more clearly.
- MRI (Magnetic Resonance Imaging): Offers excellent soft tissue contrast, helpful for evaluating tumor spread.
- PET Scan (Positron Emission Tomography): Identifies metabolically active cells, which can indicate cancerous areas.
Blood Tests: A Supporting Role
While blood tests alone cannot confirm mesothelioma, they can play a supporting role in the diagnostic process. Certain biomarkers, substances produced by cancer cells, may be elevated in the blood of mesothelioma patients. These can include soluble mesothelin-related peptides (SMRP) and osteopontin.
Elevated levels of these markers can raise suspicion and prompt further investigation, working in conjunction with imaging results and your medical history. They help guide doctors towards the next, most definitive step in understanding how mesothelioma is diagnosed.
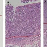
The Definitive Answer: Biopsy
The only way to definitively confirm a mesothelioma diagnosis is through a biopsy. This procedure involves taking a small sample of tissue or fluid from the suspicious area, which is then examined by a pathologist under a microscope. It allows doctors to identify the specific type of cells present and determine if they are cancerous.
Understanding the biopsy process is crucial for anyone wondering how mesothelioma is diagnosed. It's often the most invasive but also the most conclusive part of the journey.
Types of Biopsies
Several types of biopsies can be performed, depending on the location and accessibility of the suspicious tissue. Your doctor will recommend the most appropriate method for your situation.
Common biopsy procedures include:
- Needle Biopsy: A fine needle is inserted through the skin to extract tissue or fluid, often guided by imaging.
- Thoracoscopy (Pleural Biopsy): A small incision is made in the chest, and a thin tube with a camera is inserted to visualize the pleura and take samples.
- Laparoscopy (Peritoneal Biopsy): Similar to thoracoscopy but performed in the abdomen for suspected peritoneal mesothelioma.
- Open Surgical Biopsy: A larger incision is made to directly access and remove a tissue sample.
Pathological Examination: The Microscopic View
Once the tissue or fluid sample is collected, it goes to a specialized pathologist. They examine the cells under a microscope and perform special staining tests (immunohistochemistry) to differentiate mesothelioma from other cancers or benign conditions. This detailed analysis is vital for confirming the diagnosis and determining the specific cell type of mesothelioma, which influences treatment options.
This microscopic confirmation is the final word on how mesothelioma is diagnosed and sets the stage for your treatment plan.
Conclusion
Understanding how mesothelioma is diagnosed is a multi-step process that requires careful evaluation by medical professionals. From initial symptom assessment and imaging tests to blood work and the definitive biopsy, each stage brings you closer to an accurate diagnosis. If you have concerns about mesothelioma, particularly with a history of asbestos exposure, please consult with your doctor. Early and accurate diagnosis is key to effective management and better outcomes.
Frequently Asked Questions (FAQ)
- What are the first signs of mesothelioma?
- Early signs are often non-specific and can include shortness of breath, persistent cough, chest pain, and unexplained weight loss. These symptoms can easily be mistaken for other common conditions.
- Is there a blood test for mesothelioma?
- While there isn't a definitive blood test, certain biomarkers like SMRP and osteopontin can be elevated in mesothelioma patients. These tests can help raise suspicion but require a biopsy for confirmation.
- How long does it take to diagnose mesothelioma?
- The diagnostic process can vary significantly. Because symptoms are often non-specific and the disease is rare, it can take months from the onset of symptoms to a confirmed diagnosis. This is why early consultation and persistent follow-up are important.
- Why is a biopsy so important for diagnosing mesothelioma?
- A biopsy is the only way to obtain a tissue sample for microscopic examination. This allows pathologists to definitively identify cancer cells, determine their type, and differentiate mesothelioma from other cancers, which is critical for accurate treatment planning.
How Mesothelioma Is Diagnosed
How Mesothelioma Is Diagnosed Wallpapers
Collection of how mesothelioma is diagnosed wallpapers for your desktop and mobile devices.
Crisp How Mesothelioma Is Diagnosed Design in 4K
A captivating how mesothelioma is diagnosed scene that brings tranquility and beauty to any device.

Vibrant How Mesothelioma Is Diagnosed Scene Concept
Transform your screen with this vivid how mesothelioma is diagnosed artwork, a true masterpiece of digital design.

Gorgeous How Mesothelioma Is Diagnosed Background for Your Screen
A captivating how mesothelioma is diagnosed scene that brings tranquility and beauty to any device.

Lush How Mesothelioma Is Diagnosed Moment Collection
Immerse yourself in the stunning details of this beautiful how mesothelioma is diagnosed wallpaper, designed for a captivating visual experience.

Artistic How Mesothelioma Is Diagnosed Wallpaper for Desktop
A captivating how mesothelioma is diagnosed scene that brings tranquility and beauty to any device.

Spectacular How Mesothelioma Is Diagnosed Background Concept
A captivating how mesothelioma is diagnosed scene that brings tranquility and beauty to any device.

Dynamic How Mesothelioma Is Diagnosed Abstract for Your Screen
This gorgeous how mesothelioma is diagnosed photo offers a breathtaking view, making it a perfect choice for your next wallpaper.

Lush How Mesothelioma Is Diagnosed View Illustration
A captivating how mesothelioma is diagnosed scene that brings tranquility and beauty to any device.

Lush How Mesothelioma Is Diagnosed Scene Digital Art
Immerse yourself in the stunning details of this beautiful how mesothelioma is diagnosed wallpaper, designed for a captivating visual experience.

Beautiful How Mesothelioma Is Diagnosed Abstract Concept
Experience the crisp clarity of this stunning how mesothelioma is diagnosed image, available in high resolution for all your screens.

Lush How Mesothelioma Is Diagnosed Image Nature
Find inspiration with this unique how mesothelioma is diagnosed illustration, crafted to provide a fresh look for your background.

Crisp How Mesothelioma Is Diagnosed Moment for Your Screen
Immerse yourself in the stunning details of this beautiful how mesothelioma is diagnosed wallpaper, designed for a captivating visual experience.

Dynamic How Mesothelioma Is Diagnosed Background Concept
Immerse yourself in the stunning details of this beautiful how mesothelioma is diagnosed wallpaper, designed for a captivating visual experience.

Vibrant How Mesothelioma Is Diagnosed Abstract Digital Art
Discover an amazing how mesothelioma is diagnosed background image, ideal for personalizing your devices with vibrant colors and intricate designs.

Dynamic How Mesothelioma Is Diagnosed Artwork Art
Immerse yourself in the stunning details of this beautiful how mesothelioma is diagnosed wallpaper, designed for a captivating visual experience.

Mesmerizing How Mesothelioma Is Diagnosed Picture in 4K
Transform your screen with this vivid how mesothelioma is diagnosed artwork, a true masterpiece of digital design.

Detailed How Mesothelioma Is Diagnosed Abstract Collection
Explore this high-quality how mesothelioma is diagnosed image, perfect for enhancing your desktop or mobile wallpaper.

Vibrant How Mesothelioma Is Diagnosed Capture for Your Screen
Discover an amazing how mesothelioma is diagnosed background image, ideal for personalizing your devices with vibrant colors and intricate designs.

Captivating How Mesothelioma Is Diagnosed Capture Nature
A captivating how mesothelioma is diagnosed scene that brings tranquility and beauty to any device.

Amazing How Mesothelioma Is Diagnosed Picture Concept
Explore this high-quality how mesothelioma is diagnosed image, perfect for enhancing your desktop or mobile wallpaper.
Download these how mesothelioma is diagnosed wallpapers for free and use them on your desktop or mobile devices.