Mesothelioma On Cxr: Decoding the Clues in Your Chest X-Ray
If you're looking into "Mesothelioma On Cxr," you're likely seeking clarity on a serious health concern. It's natural to feel anxious when faced with the possibility of mesothelioma, a rare and aggressive cancer. While a Chest X-ray (CXR) is often one of the first imaging tests performed, understanding what it can and cannot tell us about mesothelioma is crucial.
This article aims to shed some light on how mesothelioma might appear on a CXR, why it can be difficult to diagnose solely from this test, and what steps typically follow if something suspicious is found. We'll explore the subtle hints and common signs, helping you better understand this complex topic in an approachable way.
Understanding Mesothelioma: A Quick Overview
Before diving into the X-ray findings, let's briefly define mesothelioma. It's a type of cancer that develops in the thin layer of tissue covering many internal organs, most commonly the lungs (pleural mesothelioma), but also the abdomen (peritoneal mesothelioma) and heart (pericardial mesothelioma).
The primary cause of mesothelioma is exposure to asbestos fibers, often decades before symptoms appear. Because it's aggressive and often diagnosed at advanced stages, early detection, even through initial screenings like a CXR, is incredibly important for improving outcomes.
Why Spotting "Mesothelioma On Cxr" Can Be Challenging
Identifying "Mesothelioma On Cxr" isn't always straightforward. A chest X-ray provides a two-dimensional image of your chest, and many conditions can look similar to mesothelioma, making it a tricky diagnosis based on CXR alone. The disease often starts subtly, mimicking more common ailments.
Furthermore, early-stage mesothelioma might not show distinct abnormalities on a CXR at all. It can blend in with existing lung conditions or appear as non-specific changes. This is why radiologists and doctors rely on a combination of findings and often recommend further tests.
- Diffuse thickening of the pleura, which is the lining of the lungs, can be hard to distinguish.
- Small, recurrent pleural effusions (fluid buildup around the lungs) might be overlooked or attributed to other causes.
- Overlapping anatomical structures, like ribs and heart, can obscure subtle changes associated with mesothelioma.
- The exact appearance can vary greatly depending on the type and extent of the tumor's growth pattern.
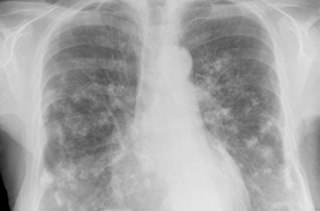
Key Signs and Subtle Hints of Mesothelioma On Cxr
While a CXR isn't definitive, certain findings can raise a red flag for "Mesothelioma On Cxr" and prompt further investigation. Radiologists are trained to look for patterns that, while not exclusive to mesothelioma, are highly suggestive, especially in patients with a history of asbestos exposure.
These signs often relate to changes in the pleura, the thin membrane surrounding the lungs. It's about looking for unusual textures, fluid patterns, or shifts in lung volume. Here are some of the key indicators that might lead to suspicion:
- **Pleural Thickening:** This is one of the most common signs. It can appear as irregular, nodular, or diffuse thickening of the pleura, often encasing the lung. This is different from benign pleural plaques.
- **Pleural Effusion:** Fluid accumulation in the space between the lung and chest wall is very common with mesothelioma. It's often large, persistent, and may recur quickly after drainage, even post-procedure.
- **Volume Loss of the Affected Lung:** As the tumor grows and constricts the lung, it can lead to a decrease in lung volume on the affected side, sometimes pulling structures like the trachea towards it.
- **Calcified Pleural Plaques:** While not mesothelioma itself, these calcifications indicate past asbestos exposure and significantly increase the suspicion for mesothelioma if other more active signs are present.
- **Unilateral Diaphragmatic Elevation:** One side of the diaphragm may appear unusually high due to tumor involvement or significant volume loss in the lung above it.
Beyond the X-Ray: When Further Investigation is Needed
It's important to remember that a CXR is usually just a starting point. If your doctor suspects "Mesothelioma On Cxr" based on the X-ray findings and your medical history, they will almost certainly recommend more advanced imaging tests. These might include a CT scan, MRI, or PET scan, which provide much more detailed views of the chest and surrounding structures, helping to better characterize any abnormalities.
The definitive diagnosis of mesothelioma always requires a biopsy. This involves taking a tissue sample from the suspicious area, which is then examined under a microscope by a pathologist. If you have concerns about your CXR results or a history of asbestos exposure, don't hesitate to discuss further diagnostic steps with your healthcare provider.
Conclusion
Understanding "Mesothelioma On Cxr" involves recognizing that while a Chest X-ray is a vital initial screening tool, it has limitations. Subtle signs like pleural thickening, fluid buildup, and changes in lung volume can hint at the presence of mesothelioma, especially in individuals with a history of asbestos exposure. However, these signs often warrant closer inspection and further testing.
A definitive diagnosis requires more advanced imaging and, crucially, a biopsy. If you're concerned about possible asbestos exposure or have unusual findings on your CXR, proactive communication with your doctor and pursuing recommended follow-up tests are your best course of action. Early vigilance is key to managing this challenging disease.
Frequently Asked Questions (FAQ)
- Can a Chest X-ray definitively diagnose mesothelioma?
- No, a CXR can suggest the presence of mesothelioma by showing suspicious changes, but it cannot definitively diagnose it. Further advanced imaging tests, such as CT or MRI, and ultimately a biopsy are required for a conclusive diagnosis.
- What if my CXR shows pleural thickening or effusion?
- If your CXR shows these findings, especially with a history of asbestos exposure, your doctor will likely recommend further investigation. This typically includes a CT scan, and potentially a biopsy, to determine the exact cause and rule out or confirm mesothelioma.
- Are there different appearances of "Mesothelioma On Cxr" depending on the stage?
- Yes, the appearance can vary significantly. Early-stage mesothelioma might be very subtle or even undetectable on a CXR, while more advanced stages are more likely to show noticeable changes like extensive pleural thickening, large effusions, and volume loss.
- Does a clear CXR rule out mesothelioma completely?
- A completely clear CXR does not definitively rule out mesothelioma, particularly in its very early stages. If there are strong clinical suspicions (e.g., significant asbestos exposure history, unexplained symptoms), further diagnostic work-up might still be considered even with a clear CXR.
Mesothelioma On Cxr
Mesothelioma On Cxr Wallpapers
Collection of mesothelioma on cxr wallpapers for your desktop and mobile devices.

Spectacular Mesothelioma On Cxr Abstract Art
A captivating mesothelioma on cxr scene that brings tranquility and beauty to any device.

High-Quality Mesothelioma On Cxr Scene Digital Art
Discover an amazing mesothelioma on cxr background image, ideal for personalizing your devices with vibrant colors and intricate designs.

Serene Mesothelioma On Cxr Capture Nature
Explore this high-quality mesothelioma on cxr image, perfect for enhancing your desktop or mobile wallpaper.

Spectacular Mesothelioma On Cxr Image Digital Art
Immerse yourself in the stunning details of this beautiful mesothelioma on cxr wallpaper, designed for a captivating visual experience.

Spectacular Mesothelioma On Cxr Image Photography
Find inspiration with this unique mesothelioma on cxr illustration, crafted to provide a fresh look for your background.

Mesmerizing Mesothelioma On Cxr Wallpaper Digital Art
Explore this high-quality mesothelioma on cxr image, perfect for enhancing your desktop or mobile wallpaper.

Amazing Mesothelioma On Cxr Design for Desktop
Explore this high-quality mesothelioma on cxr image, perfect for enhancing your desktop or mobile wallpaper.

Captivating Mesothelioma On Cxr Scene in 4K
Immerse yourself in the stunning details of this beautiful mesothelioma on cxr wallpaper, designed for a captivating visual experience.

Spectacular Mesothelioma On Cxr Photo in HD
This gorgeous mesothelioma on cxr photo offers a breathtaking view, making it a perfect choice for your next wallpaper.

Breathtaking Mesothelioma On Cxr Background Photography
Explore this high-quality mesothelioma on cxr image, perfect for enhancing your desktop or mobile wallpaper.

Gorgeous Mesothelioma On Cxr Design in 4K
Immerse yourself in the stunning details of this beautiful mesothelioma on cxr wallpaper, designed for a captivating visual experience.

Crisp Mesothelioma On Cxr Background Collection
A captivating mesothelioma on cxr scene that brings tranquility and beauty to any device.

Beautiful Mesothelioma On Cxr Image for Mobile
Explore this high-quality mesothelioma on cxr image, perfect for enhancing your desktop or mobile wallpaper.

Captivating Mesothelioma On Cxr Photo in 4K
A captivating mesothelioma on cxr scene that brings tranquility and beauty to any device.

Spectacular Mesothelioma On Cxr Photo Digital Art
This gorgeous mesothelioma on cxr photo offers a breathtaking view, making it a perfect choice for your next wallpaper.

Vibrant Mesothelioma On Cxr Background for Mobile
Discover an amazing mesothelioma on cxr background image, ideal for personalizing your devices with vibrant colors and intricate designs.

Crisp Mesothelioma On Cxr Abstract for Mobile
This gorgeous mesothelioma on cxr photo offers a breathtaking view, making it a perfect choice for your next wallpaper.

Gorgeous Mesothelioma On Cxr Wallpaper for Desktop
Immerse yourself in the stunning details of this beautiful mesothelioma on cxr wallpaper, designed for a captivating visual experience.

High-Quality Mesothelioma On Cxr View for Desktop
Transform your screen with this vivid mesothelioma on cxr artwork, a true masterpiece of digital design.

Beautiful Mesothelioma On Cxr Scene in 4K
Experience the crisp clarity of this stunning mesothelioma on cxr image, available in high resolution for all your screens.
Download these mesothelioma on cxr wallpapers for free and use them on your desktop or mobile devices.