Mesothelioma Ultrasound: An Essential Tool in Your Journey
Facing a potential mesothelioma diagnosis can be overwhelming, and understanding the various diagnostic tools available is crucial. When it comes to assessing this rare and aggressive cancer, an accurate and timely diagnosis is key. One of the valuable tools healthcare providers use in this process is the Mesothelioma Ultrasound. It's a non-invasive procedure that provides important insights without discomfort.
In this article, we'll explore what a mesothelioma ultrasound entails, how it helps in diagnosis, its benefits, and what you can expect. Our goal is to provide you with clear, helpful information in an easy-to-understand way.
What Exactly is Mesothelioma Ultrasound?
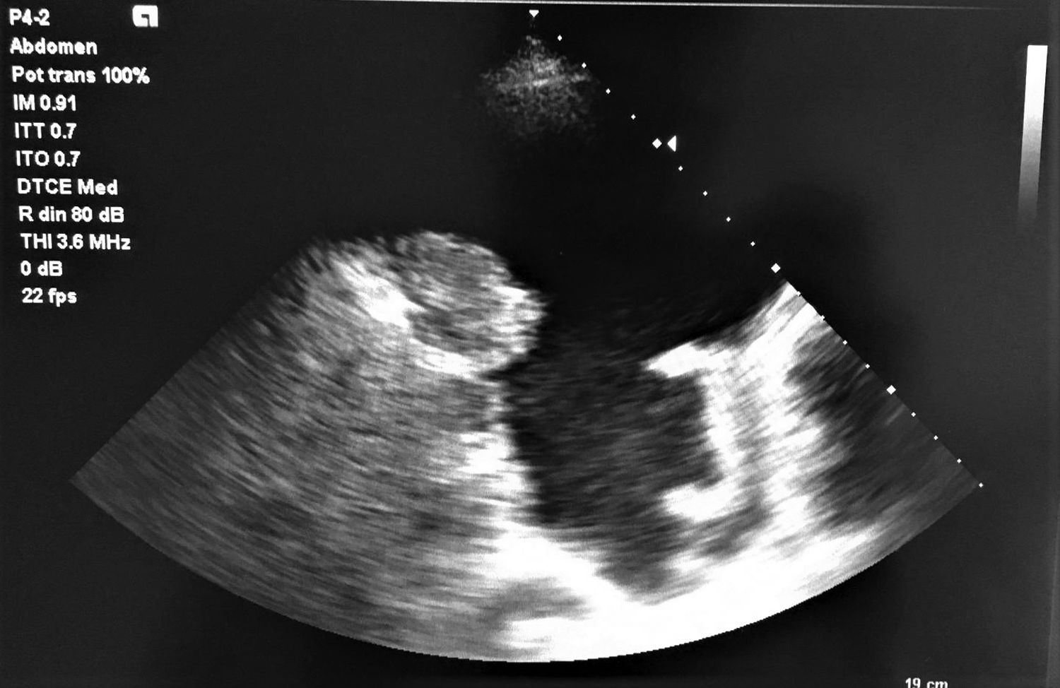
An ultrasound, also known as sonography, uses high-frequency sound waves to create live images of the inside of your body. Unlike X-rays or CT scans, it doesn't involve radiation. For mesothelioma, specifically, an ultrasound can be used to examine areas where the cancer typically develops, such as the lining of the lungs (pleura), abdomen (peritoneum), or heart (pericardium).
During the procedure, a technician applies a special gel to your skin over the area to be examined. Then, a small handheld device called a transducer is pressed against your skin and moved around. This transducer emits sound waves that bounce off organs and structures inside your body, sending echoes back to the device. These echoes are then converted into real-time images displayed on a monitor.
How Ultrasound Helps in Diagnosing Mesothelioma
While an ultrasound can't definitively diagnose mesothelioma on its own, it plays a vital role in the diagnostic process. It helps your doctor in several ways:
- Detecting Pleural Effusions: Mesothelioma often causes fluid buildup around the lungs, known as a pleural effusion. Ultrasound is excellent at identifying even small amounts of fluid and can guide its drainage.
- Assessing Lesions and Thickness: It can help visualize thickening of the pleura or peritoneum and detect any suspicious masses or lesions that might indicate mesothelioma.
- Guiding Biopsies: Perhaps one of its most critical roles is to precisely guide needle biopsies. If a suspicious area is found, an ultrasound can direct the biopsy needle to collect tissue samples for pathological analysis, ensuring accuracy and minimizing risks.
- Monitoring Treatment Response: In some cases, ultrasound can be used to monitor how tumors are responding to treatment, though other imaging might be preferred for this purpose.
Advantages of Mesothelioma Ultrasound
Choosing an ultrasound for parts of your mesothelioma diagnostic workup offers several clear benefits:
Firstly, it's completely non-invasive, meaning no incisions or needles are involved unless a biopsy is also being performed. Secondly, there's no exposure to ionizing radiation, making it a safe option, especially for repeated examinations. Plus, it provides real-time images, which is incredibly useful for guiding procedures like fluid drainage or biopsies precisely.
Additionally, ultrasound machines are often portable and less expensive than other imaging technologies like CT or MRI, making them more accessible in various healthcare settings.
Limitations and When Other Scans are Needed
While invaluable, Mesothelioma Ultrasound does have limitations. It may not provide the detailed anatomical information that a CT scan offers, especially for assessing the full extent of tumor spread or involvement of deeper structures. Magnetic Resonance Imaging (MRI) might be better for evaluating soft tissue involvement and nerve compression.
Therefore, ultrasound is usually part of a comprehensive diagnostic plan, often combined with other imaging tests like CT scans, PET scans, and MRI to get a complete picture of your condition. Your doctor will determine the best combination of tests for your specific situation.
Conclusion
A Mesothelioma Ultrasound is a crucial, non-invasive imaging technique that plays a significant role in the diagnosis and management of mesothelioma. From detecting fluid build-up to guiding precise biopsies, it provides valuable real-time information to your healthcare team.
While it works best in conjunction with other advanced imaging modalities, its safety, accessibility, and effectiveness make it an indispensable tool. If you're undergoing evaluation for mesothelioma, understanding the role of ultrasound can help you feel more informed and prepared on your diagnostic journey.
Frequently Asked Questions About Mesothelioma Ultrasound
- Can ultrasound definitively diagnose mesothelioma?
- No, ultrasound alone cannot definitively diagnose mesothelioma. It can detect suspicious areas, fluid, or thickening that may indicate the disease, but a definitive diagnosis requires a biopsy and pathological examination of tissue samples.
- Is a mesothelioma ultrasound painful?
- No, a diagnostic ultrasound is typically not painful. You might feel some pressure from the transducer on your skin, but it's generally a comfortable and well-tolerated procedure. If a biopsy is performed with ultrasound guidance, you will receive local anesthesia to minimize discomfort.
- How long does a mesothelioma ultrasound take?
- A typical mesothelioma ultrasound procedure usually takes between 20 to 45 minutes, depending on the area being examined and whether any additional procedures, like fluid drainage or a biopsy, are performed simultaneously.
- What should I do to prepare for a mesothelioma ultrasound?
- Preparation requirements vary depending on the area being scanned. For an abdominal ultrasound, you might be asked to fast for a few hours. For a chest ultrasound, generally no special preparation is needed. Your doctor or the imaging center will provide specific instructions tailored to your appointment.
- What happens after a mesothelioma ultrasound?
- After the ultrasound, the radiologist will interpret the images and send a report to your doctor. Your doctor will then discuss the findings with you and explain the next steps, which might include further imaging, a biopsy, or a treatment plan.
Mesothelioma Ultrasound
Mesothelioma Ultrasound Wallpapers
Collection of mesothelioma ultrasound wallpapers for your desktop and mobile devices.

High-Quality Mesothelioma Ultrasound Artwork for Your Screen
Transform your screen with this vivid mesothelioma ultrasound artwork, a true masterpiece of digital design.

Vivid Mesothelioma Ultrasound Background Illustration
Transform your screen with this vivid mesothelioma ultrasound artwork, a true masterpiece of digital design.

Amazing Mesothelioma Ultrasound Scene for Mobile
Experience the crisp clarity of this stunning mesothelioma ultrasound image, available in high resolution for all your screens.

Vibrant Mesothelioma Ultrasound Artwork in 4K
Discover an amazing mesothelioma ultrasound background image, ideal for personalizing your devices with vibrant colors and intricate designs.

Lush Mesothelioma Ultrasound Landscape Photography
A captivating mesothelioma ultrasound scene that brings tranquility and beauty to any device.

Artistic Mesothelioma Ultrasound Landscape Nature
Find inspiration with this unique mesothelioma ultrasound illustration, crafted to provide a fresh look for your background.

High-Quality Mesothelioma Ultrasound Wallpaper for Desktop
Experience the crisp clarity of this stunning mesothelioma ultrasound image, available in high resolution for all your screens.

Spectacular Mesothelioma Ultrasound View Illustration
A captivating mesothelioma ultrasound scene that brings tranquility and beauty to any device.

Artistic Mesothelioma Ultrasound Abstract in 4K
This gorgeous mesothelioma ultrasound photo offers a breathtaking view, making it a perfect choice for your next wallpaper.

Vibrant Mesothelioma Ultrasound Background for Your Screen
Discover an amazing mesothelioma ultrasound background image, ideal for personalizing your devices with vibrant colors and intricate designs.

Detailed Mesothelioma Ultrasound Design in HD
Discover an amazing mesothelioma ultrasound background image, ideal for personalizing your devices with vibrant colors and intricate designs.

Mesmerizing Mesothelioma Ultrasound Landscape Collection
Discover an amazing mesothelioma ultrasound background image, ideal for personalizing your devices with vibrant colors and intricate designs.

Lush Mesothelioma Ultrasound Artwork in HD
This gorgeous mesothelioma ultrasound photo offers a breathtaking view, making it a perfect choice for your next wallpaper.

Vivid Mesothelioma Ultrasound Moment Digital Art
Transform your screen with this vivid mesothelioma ultrasound artwork, a true masterpiece of digital design.

Detailed Mesothelioma Ultrasound Design Art
Discover an amazing mesothelioma ultrasound background image, ideal for personalizing your devices with vibrant colors and intricate designs.
Crisp Mesothelioma Ultrasound Background Art
A captivating mesothelioma ultrasound scene that brings tranquility and beauty to any device.

Vibrant Mesothelioma Ultrasound Wallpaper Illustration
Discover an amazing mesothelioma ultrasound background image, ideal for personalizing your devices with vibrant colors and intricate designs.

Mesmerizing Mesothelioma Ultrasound Moment Concept
Experience the crisp clarity of this stunning mesothelioma ultrasound image, available in high resolution for all your screens.

Vivid Mesothelioma Ultrasound Design for Desktop
Discover an amazing mesothelioma ultrasound background image, ideal for personalizing your devices with vibrant colors and intricate designs.

Crisp Mesothelioma Ultrasound Image for Your Screen
Immerse yourself in the stunning details of this beautiful mesothelioma ultrasound wallpaper, designed for a captivating visual experience.
Download these mesothelioma ultrasound wallpapers for free and use them on your desktop or mobile devices.