Mesothelioma Under Microscope: A Closer Look at Diagnosis
Ever wondered what happens behind the scenes when doctors are trying to diagnose something as serious as mesothelioma? It all often comes down to what they see under the microscope. This isn't just a fancy phrase; it's a critical step in understanding this rare and aggressive cancer, giving insights that are vital for treatment. Let's peel back the layers and explore what exactly pathologists are looking for when they examine tissue samples for mesothelioma under microscope.
Why "Under the Microscope" Matters for Mesothelioma Diagnosis
Imagine being able to see the fundamental building blocks of disease. That's precisely what a pathologist does. For mesothelioma, looking at tissue samples through a powerful microscope is the gold standard for diagnosis. It allows specialists to identify the unique characteristics of mesothelioma cells, distinguishing them from other types of cancer or benign conditions.
This detailed examination is not just about confirming a diagnosis; it's about providing crucial information. It helps determine the type of mesothelioma, which can influence treatment plans and prognosis. Without this microscopic analysis, a definitive diagnosis would be incredibly challenging.
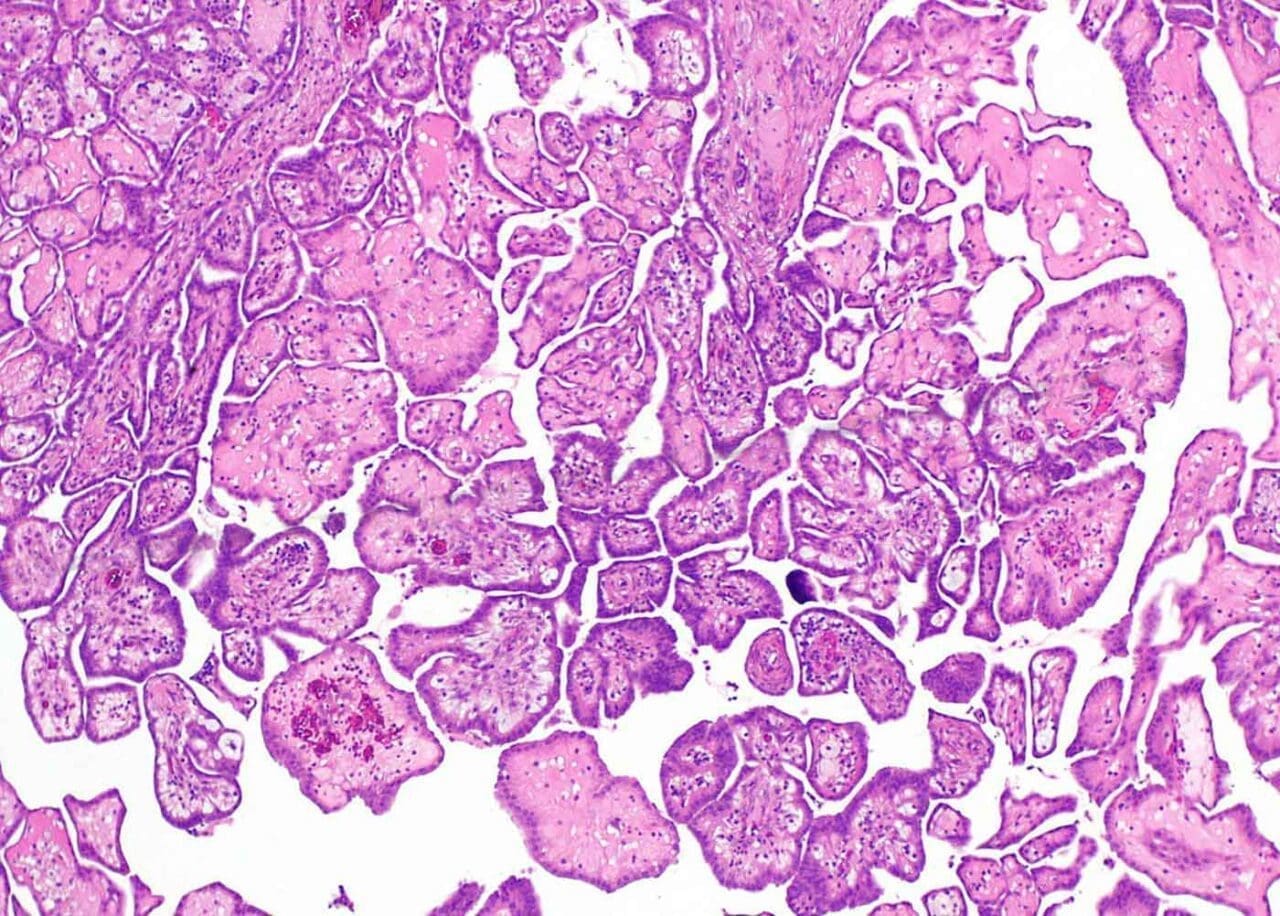
The Different Faces: Mesothelioma Cell Types Under Microscope
Mesothelioma isn't a single entity; it comes in different cellular forms, each with its own microscopic appearance. Pathologists meticulously examine these cells to classify the mesothelioma. Understanding these types is key for tailoring effective treatment strategies.
The main types of mesothelioma cells seen under the microscope include:
- Epithelioid Mesothelioma: This is the most common type, accounting for about 50-70% of cases. These cells often look somewhat uniform and form gland-like structures or sheets, resembling normal epithelial cells. They typically have a better prognosis compared to other types.
- Sarcomatoid Mesothelioma: Less common, making up 10-20% of cases. These cells are spindle-shaped, resembling connective tissue cells, and can be more aggressive. They often appear disorganized and spread more readily.
- Biphasic Mesothelioma: As the name suggests, this type contains a mixture of both epithelioid and sarcomatoid cells. Its prognosis depends on the proportion of each cell type present in the tumor sample.
How Pathologists Spot Mesothelioma: Beyond Just Morphology
Identifying mesothelioma isn't always straightforward, even for experienced pathologists. Sometimes, mesothelioma can mimic other cancers or benign conditions. That's why they use additional specialized techniques to confirm their findings.
These techniques often involve:
- Immunohistochemistry (IHC): This process uses specific antibodies to detect certain proteins (markers) on or within the cells. Mesothelioma cells often express a particular set of markers, helping pathologists distinguish them from other tumor types.
- Special Stains: Certain dyes can highlight specific cellular components, providing more clues about the cell's origin and characteristics. These stains can help confirm the presence of mesothelioma and rule out other diseases.
By combining morphology (what the cells look like) with these advanced tests, pathologists can achieve a highly accurate diagnosis of mesothelioma.
Early Detection: A Microscopic Battle Against Mesothelioma
The fight against mesothelioma is often a race against time. Early and accurate detection through microscopic examination is paramount. When mesothelioma is identified in its earlier stages, treatment options are generally more effective, potentially improving patient outcomes and quality of life.
Regular follow-ups and prompt biopsies when symptoms arise are crucial. The detailed insights gained from seeing mesothelioma under the microscope empower doctors to make informed decisions swiftly, paving the way for targeted and timely interventions.
Conclusion: The Power of the Microscope in Mesothelioma
As we've seen, examining mesothelioma under microscope is far more than a routine procedure; it's a cornerstone of diagnosis and treatment planning. From identifying subtle cellular differences to employing advanced staining techniques, pathologists play an indispensable role in unraveling the complexities of this disease. This microscopic vigilance ensures that patients receive the most accurate diagnosis and the best possible care, making the fight against mesothelioma a more informed and hopeful one.
Frequently Asked Questions (FAQ)
- What is the main purpose of looking at mesothelioma under a microscope?
- The primary purpose is to get a definitive diagnosis by identifying the characteristic features of mesothelioma cells, distinguishing them from other conditions, and classifying the specific cell type.
- Can mesothelioma be mistaken for other cancers under the microscope?
- Yes, it can be challenging as mesothelioma can sometimes mimic other cancers (like lung adenocarcinoma) or even benign reactive changes. This is why pathologists often use additional tests like immunohistochemistry to confirm the diagnosis.
- What are the different types of mesothelioma cells a pathologist looks for?
- Pathologists primarily look for epithelioid, sarcomatoid, and biphasic cell types. Epithelioid is the most common, sarcomatoid is more aggressive, and biphasic is a mix of both.
- How long does it take to get a mesothelioma diagnosis from a biopsy?
- While initial microscopic examination might happen quickly, a definitive diagnosis, especially with complex cases requiring special stains and immunohistochemistry, can take several days to a week or more. It depends on the complexity and the lab's workload.
Mesothelioma Under Microscope
Mesothelioma Under Microscope Wallpapers
Collection of mesothelioma under microscope wallpapers for your desktop and mobile devices.

Artistic Mesothelioma Under Microscope Wallpaper for Your Screen
Find inspiration with this unique mesothelioma under microscope illustration, crafted to provide a fresh look for your background.

High-Quality Mesothelioma Under Microscope Abstract Collection
Experience the crisp clarity of this stunning mesothelioma under microscope image, available in high resolution for all your screens.

Beautiful Mesothelioma Under Microscope Moment Concept
Explore this high-quality mesothelioma under microscope image, perfect for enhancing your desktop or mobile wallpaper.

Dynamic Mesothelioma Under Microscope Scene Photography
Find inspiration with this unique mesothelioma under microscope illustration, crafted to provide a fresh look for your background.

Crisp Mesothelioma Under Microscope Moment for Mobile
Find inspiration with this unique mesothelioma under microscope illustration, crafted to provide a fresh look for your background.

Serene Mesothelioma Under Microscope Abstract Illustration
Experience the crisp clarity of this stunning mesothelioma under microscope image, available in high resolution for all your screens.

Serene Mesothelioma Under Microscope Moment Digital Art
Explore this high-quality mesothelioma under microscope image, perfect for enhancing your desktop or mobile wallpaper.

Breathtaking Mesothelioma Under Microscope Artwork Art
Discover an amazing mesothelioma under microscope background image, ideal for personalizing your devices with vibrant colors and intricate designs.

Vibrant Mesothelioma Under Microscope Capture for Your Screen
Discover an amazing mesothelioma under microscope background image, ideal for personalizing your devices with vibrant colors and intricate designs.

Detailed Mesothelioma Under Microscope Background Collection
Explore this high-quality mesothelioma under microscope image, perfect for enhancing your desktop or mobile wallpaper.

Beautiful Mesothelioma Under Microscope View for Mobile
Transform your screen with this vivid mesothelioma under microscope artwork, a true masterpiece of digital design.

Detailed Mesothelioma Under Microscope View for Mobile
Experience the crisp clarity of this stunning mesothelioma under microscope image, available in high resolution for all your screens.

Captivating Mesothelioma Under Microscope Capture in 4K
Immerse yourself in the stunning details of this beautiful mesothelioma under microscope wallpaper, designed for a captivating visual experience.

Gorgeous Mesothelioma Under Microscope Artwork in 4K
A captivating mesothelioma under microscope scene that brings tranquility and beauty to any device.

Gorgeous Mesothelioma Under Microscope Abstract for Your Screen
This gorgeous mesothelioma under microscope photo offers a breathtaking view, making it a perfect choice for your next wallpaper.
Captivating Mesothelioma Under Microscope Picture Illustration
A captivating mesothelioma under microscope scene that brings tranquility and beauty to any device.

Artistic Mesothelioma Under Microscope Landscape for Mobile
Find inspiration with this unique mesothelioma under microscope illustration, crafted to provide a fresh look for your background.

Serene Mesothelioma Under Microscope Capture Digital Art
Explore this high-quality mesothelioma under microscope image, perfect for enhancing your desktop or mobile wallpaper.

Breathtaking Mesothelioma Under Microscope Wallpaper Collection
Transform your screen with this vivid mesothelioma under microscope artwork, a true masterpiece of digital design.

Captivating Mesothelioma Under Microscope Picture Digital Art
Immerse yourself in the stunning details of this beautiful mesothelioma under microscope wallpaper, designed for a captivating visual experience.
Download these mesothelioma under microscope wallpapers for free and use them on your desktop or mobile devices.