Mesothelioma X Ray Pleural Thickening: What You Need to Know
If you're reading this, you might be concerned about your lung health, perhaps due to past asbestos exposure. We understand that seeing "Mesothelioma X Ray Pleural Thickening" on a report can be alarming. It's a key indicator doctors look for, but it doesn't automatically mean mesothelioma. This article will help you understand what pleural thickening is, how X-rays play a vital role, and what steps might follow.
Think of it as an initial clue in a bigger health mystery. Let's break down this complex topic in an easy-to-understand way.
Understanding Pleural Thickening: What Is It?
Pleural thickening refers to a condition where the pleura, the thin membranes lining your lungs and chest wall, become scarred and thicker than normal. This often happens due to inflammation or irritation, most commonly from asbestos exposure. While not always cancerous, it's a significant sign that your doctor will want to investigate further, especially in the context of mesothelioma.
It can range from small, localized areas to more widespread, diffuse thickening. Understanding its presence is crucial for an early diagnosis.
The Role of X-Rays in Diagnosing Mesothelioma
An X-ray is often one of the first imaging tests a doctor orders when there's concern about lung issues or potential asbestos-related diseases. It's a quick, non-invasive way to get a general overview of your lungs and chest cavity. While an X-ray can't definitively diagnose mesothelioma, it can reveal tell-tale signs that warrant more detailed investigation.
Specifically, an X-ray might reveal:
- Evidence of diffuse pleural thickening
- Presence of pleural plaques, which are calcified areas on the pleura
- Pleural effusions, which are fluid build-ups around the lungs
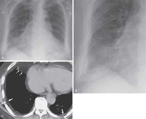
What an X-Ray Might Show: Signs to Look For
When a radiologist reviews your X-ray for Mesothelioma X Ray Pleural Thickening, they are looking for specific patterns. These patterns can indicate asbestos exposure and, in some cases, the presence of mesothelioma. It's important to remember that these are indicators, not final diagnoses.
Diffuse Pleural Thickening on X-Ray
This refers to widespread scarring of the pleura, which can be seen as a haziness or thickening along the lung margins on an X-ray. It's a common finding in individuals with a history of asbestos exposure and can sometimes be a precursor or co-occurrence with mesothelioma. It can restrict lung expansion and cause breathing difficulties.
Pleural Plaques: A Common Indicator
Pleural plaques are well-defined, localized areas of fibrosis and calcification on the outer lining of the lung. They are the most common radiological sign of past asbestos exposure. While plaques themselves are benign and typically do not become cancerous, their presence strongly indicates significant asbestos exposure, which is the primary cause of mesothelioma.
Beyond X-Rays: Other Diagnostic Tools
While an X-ray is a crucial first step, it's rarely enough for a definitive diagnosis of mesothelioma. If your X-ray shows suspicious findings like pleural thickening, your doctor will likely recommend further, more advanced imaging and diagnostic procedures. These tests provide more detailed views and can help confirm or rule out mesothelioma.
Here are some common next steps:
- CT Scans (Computed Tomography): These provide cross-sectional images, offering much more detail than an X-ray about the extent and nature of any thickening or masses.
- MRI (Magnetic Resonance Imaging): MRI scans can differentiate between fluid and solid masses, which is helpful in evaluating pleural effusions.
- PET Scans (Positron Emission Tomography): A PET scan can help identify areas of increased metabolic activity, which can indicate cancerous tissue.
- Biopsy: This is the only way to definitively diagnose mesothelioma. A tissue sample is taken from the affected area and examined under a microscope.
Conclusion
Discovering "Mesothelioma X Ray Pleural Thickening" on an X-ray can be a worrying experience, but it's a vital piece of information. While an X-ray alone cannot diagnose mesothelioma, it serves as an essential screening tool, guiding your healthcare provider toward further investigation. If your X-ray shows signs of pleural thickening or other abnormalities, it's crucial to follow up with your doctor for additional tests. Early detection, especially for conditions like mesothelioma, significantly impacts treatment options and outcomes. Stay informed and proactive about your health.
Frequently Asked Questions (FAQ)
- Can an X-ray definitively diagnose mesothelioma?
- No, an X-ray cannot definitively diagnose mesothelioma. It can reveal suspicious signs like pleural thickening or fluid, which warrant further investigation. A biopsy is typically required for a definitive diagnosis.
- What causes pleural thickening?
- The most common cause of pleural thickening, particularly diffuse pleural thickening and pleural plaques, is exposure to asbestos fibers. Other causes can include infections, inflammation, or trauma to the chest.
- Are all pleural thickenings cancerous?
- No, not all pleural thickenings are cancerous. Pleural plaques, for example, are benign and do not typically become cancerous. However, diffuse pleural thickening, especially if progressive, can sometimes be associated with or a sign of mesothelioma, making further evaluation crucial.
- What's the next step after an X-ray shows pleural thickening?
- If an X-ray shows pleural thickening, your doctor will likely recommend more advanced imaging tests like a CT scan or MRI for a clearer view. Depending on those results, a biopsy might be performed to obtain a tissue sample for definitive diagnosis.
Mesothelioma X Ray Pleural Thickening
Mesothelioma X Ray Pleural Thickening Wallpapers
Collection of mesothelioma x ray pleural thickening wallpapers for your desktop and mobile devices.

Spectacular Mesothelioma X Ray Pleural Thickening Image Photography
Find inspiration with this unique mesothelioma x ray pleural thickening illustration, crafted to provide a fresh look for your background.

Crisp Mesothelioma X Ray Pleural Thickening Scene for Mobile
This gorgeous mesothelioma x ray pleural thickening photo offers a breathtaking view, making it a perfect choice for your next wallpaper.

Mesmerizing Mesothelioma X Ray Pleural Thickening Wallpaper Digital Art
Explore this high-quality mesothelioma x ray pleural thickening image, perfect for enhancing your desktop or mobile wallpaper.

Detailed Mesothelioma X Ray Pleural Thickening Design Art
Discover an amazing mesothelioma x ray pleural thickening background image, ideal for personalizing your devices with vibrant colors and intricate designs.

Spectacular Mesothelioma X Ray Pleural Thickening Photo in HD
This gorgeous mesothelioma x ray pleural thickening photo offers a breathtaking view, making it a perfect choice for your next wallpaper.

Captivating Mesothelioma X Ray Pleural Thickening Scene in 4K
Immerse yourself in the stunning details of this beautiful mesothelioma x ray pleural thickening wallpaper, designed for a captivating visual experience.

Detailed Mesothelioma X Ray Pleural Thickening View Collection
Explore this high-quality mesothelioma x ray pleural thickening image, perfect for enhancing your desktop or mobile wallpaper.

Amazing Mesothelioma X Ray Pleural Thickening Design for Desktop
Explore this high-quality mesothelioma x ray pleural thickening image, perfect for enhancing your desktop or mobile wallpaper.

Crisp Mesothelioma X Ray Pleural Thickening Background Collection
A captivating mesothelioma x ray pleural thickening scene that brings tranquility and beauty to any device.

Amazing Mesothelioma X Ray Pleural Thickening Scene in 4K
Experience the crisp clarity of this stunning mesothelioma x ray pleural thickening image, available in high resolution for all your screens.

Crisp Mesothelioma X Ray Pleural Thickening View Photography
Immerse yourself in the stunning details of this beautiful mesothelioma x ray pleural thickening wallpaper, designed for a captivating visual experience.

Crisp Mesothelioma X Ray Pleural Thickening View for Your Screen
Immerse yourself in the stunning details of this beautiful mesothelioma x ray pleural thickening wallpaper, designed for a captivating visual experience.

High-Quality Mesothelioma X Ray Pleural Thickening Landscape Collection
Experience the crisp clarity of this stunning mesothelioma x ray pleural thickening image, available in high resolution for all your screens.

Vibrant Mesothelioma X Ray Pleural Thickening Artwork in 4K
Discover an amazing mesothelioma x ray pleural thickening background image, ideal for personalizing your devices with vibrant colors and intricate designs.

Vivid Mesothelioma X Ray Pleural Thickening Moment for Mobile
Explore this high-quality mesothelioma x ray pleural thickening image, perfect for enhancing your desktop or mobile wallpaper.

Beautiful Mesothelioma X Ray Pleural Thickening Moment Illustration
Discover an amazing mesothelioma x ray pleural thickening background image, ideal for personalizing your devices with vibrant colors and intricate designs.

Captivating Mesothelioma X Ray Pleural Thickening Photo in 4K
A captivating mesothelioma x ray pleural thickening scene that brings tranquility and beauty to any device.

Lush Mesothelioma X Ray Pleural Thickening Abstract Art
Find inspiration with this unique mesothelioma x ray pleural thickening illustration, crafted to provide a fresh look for your background.

High-Quality Mesothelioma X Ray Pleural Thickening Scene Digital Art
Discover an amazing mesothelioma x ray pleural thickening background image, ideal for personalizing your devices with vibrant colors and intricate designs.

Captivating Mesothelioma X Ray Pleural Thickening View Photography
This gorgeous mesothelioma x ray pleural thickening photo offers a breathtaking view, making it a perfect choice for your next wallpaper.
Download these mesothelioma x ray pleural thickening wallpapers for free and use them on your desktop or mobile devices.