Sarcomatoid Mesothelioma Pathology Outlines: A Closer Look
If you're delving into the complexities of mesothelioma, especially the sarcomatoid subtype, understanding its pathology is absolutely crucial. Sarcomatoid mesothelioma pathology outlines provide a roadmap for diagnosis, treatment planning, and even predicting prognosis. It's a challenging area, but by breaking it down, we can grasp the nuances together.
Understanding Sarcomatoid Mesothelioma
Sarcomatoid mesothelioma is one of the less common and often more aggressive histological subtypes of mesothelioma. Unlike the more typical epithelioid type, its cells resemble sarcomas, which are cancers of connective tissues. This similarity can make its diagnosis particularly tricky, requiring specialized expertise in pathology.
Pathologists play a vital role in identifying this subtype through microscopic examination of tissue biopsies. Their detailed analysis helps to differentiate it from other similar-looking cancers, which is essential for guiding appropriate patient care.
The Unique Challenges in Diagnosis
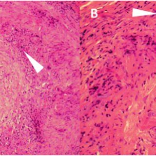
Diagnosing sarcomatoid mesothelioma is often considered the most challenging among mesothelioma subtypes. Its cells can be spindle-shaped, poorly differentiated, and mimic various other spindle cell tumors. This morphological overlap necessitates a careful and systematic approach from the pathology team.
Factors like limited tissue samples can further complicate the diagnostic process. Pathologists must rely on a combination of histological features, clinical context, and advanced immunohistochemical studies to reach an accurate diagnosis.
Key Histopathological Features
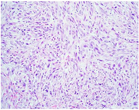
When examining tissue under the microscope, pathologists look for several defining characteristics of sarcomatoid mesothelioma. These features help distinguish it from other conditions and confirm the diagnosis.
- **Spindle cell morphology:** Cells are elongated and tapering, resembling fibroblasts or smooth muscle cells.
- **High cellularity:** Often densely packed cells with little intervening stroma.
- **Infiltrative growth pattern:** The tumor cells invade surrounding tissues, rather than forming a cohesive mass.
- **Pleomorphism:** Variability in cell size and shape, indicating aggressive behavior.
- **Necrosis:** Areas of cell death can be present, especially in more advanced tumors.
Differentiating Sarcomatoid Mesothelioma from Other Cancers
One of the biggest hurdles in sarcomatoid mesothelioma pathology outlines is distinguishing it from other spindle cell neoplasms. This group includes sarcomas, fibromatosis, and even reactive conditions. Misdiagnosis can lead to inappropriate or delayed treatment, making accurate identification critical.
Pathologists often compare the features of the suspected mesothelioma with common look-alikes. This includes primary lung sarcomas, metastatic sarcomas, and sometimes even desmoplastic melanoma. Each of these has specific markers and patterns that help in the differential diagnosis.
Immunohistochemistry: A Crucial Tool
Immunohistochemistry (IHC) is an indispensable technique in the diagnosis of sarcomatoid mesothelioma. It involves using antibodies to detect specific proteins in the tumor cells, which helps confirm their origin and nature. This is often the definitive step when histology alone is inconclusive.
For mesothelioma, pathologists look for a panel of markers. Positive staining for mesothelial markers like WT1, Calretinin, D2-40, and Cytokeratin 5/6, along with negative staining for markers of other cancers (e.g., specific sarcoma markers), helps establish the diagnosis. This intricate dance of positive and negative results clarifies the sarcomatoid mesothelioma pathology outlines.
Prognostic Implications of Pathology
The pathological diagnosis of sarcomatoid mesothelioma carries significant prognostic implications. Generally, this subtype is associated with a more aggressive course and a poorer prognosis compared to the epithelioid type. This information is vital for both patients and their medical teams as they consider treatment options.
The extent of tumor invasion, mitotic activity (how fast cells are dividing), and presence of necrosis, all observed during pathological examination, can further refine prognostic assessments. These details within the sarcomatoid mesothelioma pathology outlines help guide discussions about the disease's likely progression.
Conclusion
Navigating the world of sarcomatoid mesothelioma pathology outlines can seem daunting, but it's a critical component of understanding this complex disease. From the unique challenges in diagnosis to the crucial role of immunohistochemistry, every detail helps paint a clearer picture. Accurate pathological identification is the cornerstone for effective management and improved outcomes for patients facing this challenging diagnosis.
Frequently Asked Questions (FAQ)
- What makes sarcomatoid mesothelioma difficult to diagnose?
- Its cells resemble other spindle cell cancers, leading to overlap in microscopic features. This often requires advanced techniques like immunohistochemistry for definitive diagnosis.
- Is immunohistochemistry always necessary for diagnosis?
- For sarcomatoid mesothelioma, yes, it's almost always essential. Histology alone is often insufficient due to the non-specific appearance of the tumor cells and the need to differentiate it from other sarcomatoid lesions.
- How does the sarcomatoid subtype differ from epithelioid mesothelioma?
- The epithelioid type has cells that resemble epithelial cells, while sarcomatoid cells look like connective tissue cells (spindle cells). Sarcomatoid is generally considered more aggressive and harder to treat.
- Can sarcomatoid mesothelioma be misdiagnosed as a sarcoma?
- Yes, absolutely. This is a common challenge due to the similar appearance of the cells, which is why a comprehensive panel of immunohistochemical stains is vital to differentiate between the two.
Sarcomatoid Mesothelioma Pathology Outlines
Sarcomatoid Mesothelioma Pathology Outlines Wallpapers
Collection of sarcomatoid mesothelioma pathology outlines wallpapers for your desktop and mobile devices.

High-Quality Sarcomatoid Mesothelioma Pathology Outlines Abstract Collection
Experience the crisp clarity of this stunning sarcomatoid mesothelioma pathology outlines image, available in high resolution for all your screens.

Beautiful Sarcomatoid Mesothelioma Pathology Outlines Image Nature
Experience the crisp clarity of this stunning sarcomatoid mesothelioma pathology outlines image, available in high resolution for all your screens.

Amazing Sarcomatoid Mesothelioma Pathology Outlines Landscape Concept
Transform your screen with this vivid sarcomatoid mesothelioma pathology outlines artwork, a true masterpiece of digital design.

Artistic Sarcomatoid Mesothelioma Pathology Outlines Image Concept
A captivating sarcomatoid mesothelioma pathology outlines scene that brings tranquility and beauty to any device.

Stunning Sarcomatoid Mesothelioma Pathology Outlines Photo Art
Find inspiration with this unique sarcomatoid mesothelioma pathology outlines illustration, crafted to provide a fresh look for your background.

Captivating Sarcomatoid Mesothelioma Pathology Outlines Background Concept
This gorgeous sarcomatoid mesothelioma pathology outlines photo offers a breathtaking view, making it a perfect choice for your next wallpaper.

Vivid Sarcomatoid Mesothelioma Pathology Outlines Abstract Digital Art
Discover an amazing sarcomatoid mesothelioma pathology outlines background image, ideal for personalizing your devices with vibrant colors and intricate designs.

Spectacular Sarcomatoid Mesothelioma Pathology Outlines Capture Illustration
Immerse yourself in the stunning details of this beautiful sarcomatoid mesothelioma pathology outlines wallpaper, designed for a captivating visual experience.

Breathtaking Sarcomatoid Mesothelioma Pathology Outlines Image Photography
Experience the crisp clarity of this stunning sarcomatoid mesothelioma pathology outlines image, available in high resolution for all your screens.

Spectacular Sarcomatoid Mesothelioma Pathology Outlines Image Illustration
Immerse yourself in the stunning details of this beautiful sarcomatoid mesothelioma pathology outlines wallpaper, designed for a captivating visual experience.

Mesmerizing Sarcomatoid Mesothelioma Pathology Outlines Capture Concept
Experience the crisp clarity of this stunning sarcomatoid mesothelioma pathology outlines image, available in high resolution for all your screens.

Crisp Sarcomatoid Mesothelioma Pathology Outlines Wallpaper in HD
Immerse yourself in the stunning details of this beautiful sarcomatoid mesothelioma pathology outlines wallpaper, designed for a captivating visual experience.

Stunning Sarcomatoid Mesothelioma Pathology Outlines Background in 4K
A captivating sarcomatoid mesothelioma pathology outlines scene that brings tranquility and beauty to any device.

Crisp Sarcomatoid Mesothelioma Pathology Outlines Design Photography
Immerse yourself in the stunning details of this beautiful sarcomatoid mesothelioma pathology outlines wallpaper, designed for a captivating visual experience.

Crisp Sarcomatoid Mesothelioma Pathology Outlines Moment for Mobile
Find inspiration with this unique sarcomatoid mesothelioma pathology outlines illustration, crafted to provide a fresh look for your background.

Crisp Sarcomatoid Mesothelioma Pathology Outlines View in 4K
This gorgeous sarcomatoid mesothelioma pathology outlines photo offers a breathtaking view, making it a perfect choice for your next wallpaper.

Dynamic Sarcomatoid Mesothelioma Pathology Outlines Design Concept
Immerse yourself in the stunning details of this beautiful sarcomatoid mesothelioma pathology outlines wallpaper, designed for a captivating visual experience.

High-Quality Sarcomatoid Mesothelioma Pathology Outlines Landscape for Desktop
Transform your screen with this vivid sarcomatoid mesothelioma pathology outlines artwork, a true masterpiece of digital design.

Spectacular Sarcomatoid Mesothelioma Pathology Outlines Photo Concept
This gorgeous sarcomatoid mesothelioma pathology outlines photo offers a breathtaking view, making it a perfect choice for your next wallpaper.

Amazing Sarcomatoid Mesothelioma Pathology Outlines Design Concept
Discover an amazing sarcomatoid mesothelioma pathology outlines background image, ideal for personalizing your devices with vibrant colors and intricate designs.
Download these sarcomatoid mesothelioma pathology outlines wallpapers for free and use them on your desktop or mobile devices.